2025/10/25
今日は、横浜市港南区のシンシア動物病院です。降ったり止んだりの冷たい雨の日が続いています。
こんな寒い中にも愛犬の皆さんはウェルネス健康プランの2度目の血液検査などでお出でいただいています。雨の中ありがとうございました。
老猫の皆さんは寒さで具合の悪くなる子が多くなってしまい、こちらも血液検査などが続いています。昨日今日と気難しい猫さんが続き、さてどこから手を付けようかとぼんやり覗いているとシャー!と前手をひと振り、爪が手にクリーンヒットして流血騒ぎになってしまいました。「油断しているからだよ」と何気に院長に言われ、ちょっとむっとして人間同士で少々険悪な雰囲気になったりしました。ともあれお猫さまには丁寧に扱わせていただき、興奮させないよう場合によってはやく(鎮静)を使って無事もろもろの検査・治療を終えました。腎機能が悪くなっていたり、顕著な悪い値はなかったりと様々でした。治療頑張ったね、早く良くなってね~。

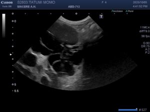
以前「多発性嚢胞腎」の診断を受けた猫さんは、その後通院点滴を続けられているのですが、当院に休診時にお世話になった別の病院の方が猫との相性が良さそうとのことで、そちらで治療をつづけられることになりました。今日は同居の猫さんの健診(ドック)においでいただきました。闘病中の猫さんのことで飼い主さんは大変心を痛めておられ、できる限りの検査を希望されました。特に「嚢胞腎」と「心筋症」を心配しておられます。当院でできるスクリーニング検査をして、結果次第では専門病院をご紹介する予定です。何件かの動物病院に通われるのは本当に大変だと思います。できるだけ猫さんと飼い主さんの気持ちに寄り添った診療をしていきたいと努めていきます。
