2025/10/05
今日は、横浜市港南区のシンシア動物病院です。
今日は看護士さん1人が有休をとり、私も午前中いなかった残りのスタッフで忙しかったようです。実は私は趣味の検定試験を受けるため休みをもらいました(もちろん撃沈でした)。年に何回か受験できるのですが、もっと学習時間が必要そうなので1年後あたりを目指しましょうかね?死ぬまでに取れればいいかな。
自民党の総裁選では高市早苗氏が選出され首相になられる見込みのようですね。これで東京都知事も首相も共に女性になるわけですから、すごいことです! 鬱屈した日々の中で私たち(私だけ?)はカリスマ性を求めていたのかもしれません、国を思う強い意志と熱意がこのもった演説に感動さえ覚えてしまいました(単純ですかね?) 並べるのはおこがましいですが、私も「人生いくつになっても勉強」と思ってさらにチャレンジしていきたいと思います。
さて、午後はちょっとショックな症例が来られました。
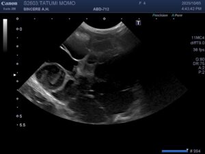
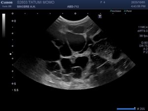
まだ若い猫がコロナウィルスの抗体価が以前高めだったので、今回腹囲が大きくなったと心配して来院されました。触診すると腹水というより両側に固いしこりを触れたので、急いでレントゲンと超音波を取りました。レントゲンでは両腎臓が拡大され、超音波では腎臓実質がハチの巣状の空隙が多数で来ていました。血液検査ではBUNとCREがかなり高くなっています。丁度1年前は正常だったのに、若いから油断したのかもしれませんショックでした。

診断は「多発性嚢胞腎」。これは人でもあるそうですが、猫ではペルシャなどが比較的多いとされる遺伝病で、腎臓に液体を含んだ袋がたくさんできて腎盂を圧迫し、最終的に慢性腎臓病を引き起こす病気です。治療は嚢胞を潰すのは感染のリスクが高く、腎臓病への対症療法が主になってしまいます。まだ4才、何とかならんものかと胸が痛みます。
◇◆◇◆◇◆◇◆◇◆◇◆◇◆◇◆◇◆◇◆◇
シンシア動物病院
>http://www.sincere-ah.com/
住所:〒233-0008 神奈川県横浜市
港南区最戸1丁目2−3
TEL:045-714-1560
◇◆◇◆◇◆◇◆◇◆◇◆◇◆◇◆◇◆◇◆◇
